I have a challenge for you. Before we cover the best effective chiropractic neck exercises and stretches, I want you to look for something for me. Next time you are out and around a lot of people, notice that most people in a neutral position, will have their ears in front of their shoulders. You know that this isn’t the normal position of your spine and neck but it isn’t something that you probably think about a lot if at all. Your neck will of course protrude further forward from your shoulders when slouching, eating, gaming, or working at a desk (for most people). Have you ever noticed this before?
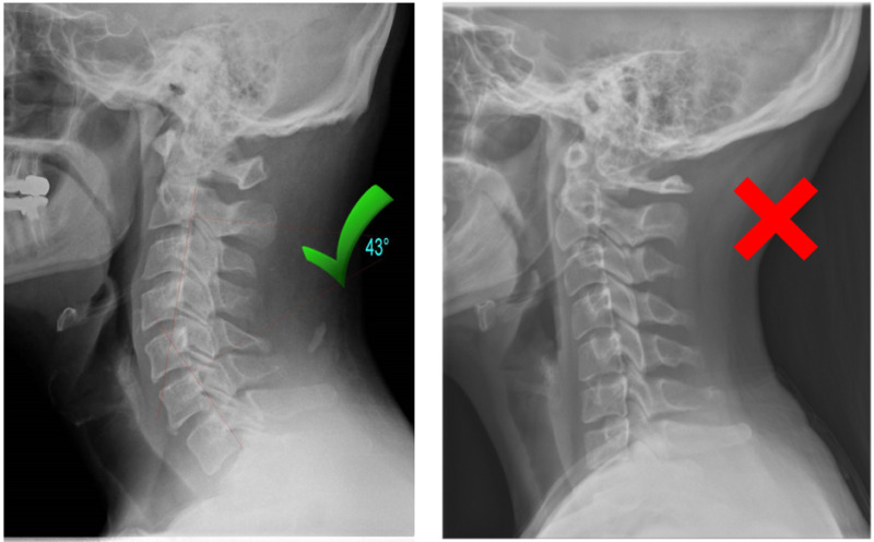
Did you know that each region of your spine should have a specific curve for maximum health and function? Your neck or cervical spine in particular should have a backward (or lordotic) curve to it. It’s similar to the curve we should have in our lower back. It’s something we all develop as babies when we learn to keep our heads up. That’s why “tummy time” is so important for infants! It develops these two lordotic curves which are necessary to allow for maximum spinal cord diameter (and trust me, that is something that we all want and need).

Contributing factors that may require you to utilize the best effective neck exercises and stretches.

Here are some contributing factors to neck pain and poor posture that you may be doing that can add to this problem. Text neck, desk jobs, school (see this related post if you are a student) or even a car or other auto accident. Looking at that computer screen for long periods of time, especially when seated is very stressful for your entire spine and nervous system. Have you noticed neck pain or tension headaches after a few hours at the computer? I’m typing on one right now so I know the feeling. Just make sure to take many breaks and do some of these techniques during the day. Also, try to have the best posture you can while you work (or scroll through social media).
So who cares? Why is posture so important?
This normal curved position of your neck is where all of your associated muscles and most importantly, your spinal cord are at the healthiest levels of tension. You are FAR, FAR less likely to have pain at the base of your skull, cervicogenic headaches, or neck problems when you maintain this position of your neck. When we have bad posture it puts this neck curve in the opposite direction which can lead to several things which I won’t cover in detail but will mention a few.
Associated signs and symptoms (that may sound familiar):
- Neck stiffness and decreased range of motion
- Neck pain
- Upper back tightness
- Low back pain (maybe a surprise to hear but the spine is all connected so one area can easily and frequently affect another.)
- Neck tension
- Chronic back pain
- Pain between the shoulder blades
- Chronic neck pain
- Headaches
- Arm pain
- Hand pain (this may feel kind of like carpal tunnel syndrome but it isn’t if the problem is coming from the neck.)
- Tight neck muscles (especially scalene muscles and suboccipitals)
- Even a more serious condition like spinal stenosis.
Don’t worry though, we can get on the right track starting TODAY! Your body is so resilient and can recover from lots of damage and years of neglect if we give it what it needs and take away some stress. That’s why we will shortly cover the best effective chiropractic neck exercises and stretches that you can do right now, at home!
Posture and Stress

This blog is all about stress and how to reduce it so let’s have a look at this recent study. What the study showed was that “forward head posture is a strong driver of…increased amplitude (strength-activity) in the autonomic nervous system (ANS).”
Your autonomic nervous system has a stress side and a rest side. When our posture and our necks are out of whack…we activate the stress side. None of us needs more stress! The more we can do to decrease the burden of stress, the better our lives can be as a whole (physical and mental). That’s why this blog is called Holistic Stress Docs. Wink, wink!
It makes sense though, right? When you are hiking or out on a beautiful beach and feeling great, your posture is awesome and you feel so much less stress. You can breathe deeper and feel more joy when you are looking up and out at the surrounding areas and enjoying nature. But, since most of us can’t quit our real lives and do this every day, let’s see how we can start to fix some of this without being on a permanent vacation.
Best effective chiropractic neck exercises and stretches
Section 1: Stretches, etc:
So now what? How can I reduce those tension headaches and get rid of some of that neck strain that I have?
Chiropractic Care

Chiropractors love to welcome new patients with neck tension! It’s one of our specialties profession wide. Chiropractic adjustments neurologically stop muscle tension in its tracks. They actually inhibit the alpha motor neuron which is constantly firing to that muscle. This inhibition will last for at least 24 hours or so which is much longer than any exercise or technique that we know of at this moment in time. So give your local chiropractor a call and get set up with a nice stress reducing treatment plan.
Massage therapy
Massage therapy can be very beneficial as you are working on your neck musculature. Find a skilled practitioner in your area and you will look forward to your visit every time. You should notice a palpable difference before vs after. It’s especially beneficial if you find massage to be stress relieving. You can get the therapeutic benefits to your muscle tissue as well as get some beautiful stress relief. Your nervous system will thank you!
Fascia Release

I think this is a GAME CHANGER! When you spend about 10 minutes learning how to use the tools, your body will never be the same again. There is a good amount of science behind smoothing out your fascia. Everyone has some degree of difficulty when it comes to fascia but you can begin to heal and remodel within a very short period of time.
*This post may contain affiliate links. As an Amazon Associate, I earn from qualifying purchases.
This technique can help you reset your muscle spindle cells which are responsible for detecting stretch. It can also reduce the amount of pain producing trigger points. I really love how these tools can be customized for different areas of the body and also the claw design goes in deep enough to get major results very quickly.
Pain reduction can be significant. Just remember that fascia isn’t just located in one area. I know that this post is focused on the neck but make sure to work out your upper chest, upper back, shoulders, arms, etc. Fascia goes all the way from the top of your head to the tips of your toes and houses everything in between.
This type of at home therapy will reduce inflammation, produce collagen, and reduce the overall stress load on the body. If you can’t tell, I think this is an all natural “secret” weapon that will push you to the next level in your care of your neck and really any area of your body where is concerns the neuromusculoskeletal system.
Neck Stretch #1

Let’s look at the following stretches for some serious tension relief
The starting position for all of these exercises will be impeccably good posture. Almost like a neck retraction exercise. I actually don’t recommend this exercise as a dynamic move like chin tucks but more of a posture that gives you a double chin (attractive right?). This position is imperative to make these stretches effective and to get the best results.
- Position your ears right over your shoulders without looking up or down.
- Then put your right ear to your right shoulder (bending).
- Use your right hand to accentuate the stretch. Use your tolerance as a threshold, don’t cause yourself pain while doing this. You will get more and more flexible as you continue to do this.
- Hold for 30-60 seconds
- Repeat 3 times.
- Don’t forget to do the left side as well (bend your head over your left shoulder and accentuate with pressure over the right side of your head).
Neck Stretch #2
Now that you’ve mastered stretch #1 and are already getting some neck pain relief, this one will be a cinch! The results from these simple neck stretches will shock you. If you do these every day, you will be well on your way to getting rid of that chronic neck pain in about 2-4 weeks.
- Position your ears right over your shoulders without looking up or down.
- Now bring your nose over your right shoulder (rotating).
- Use your right arm to accentuate the stretch by adding some pressure to your left temple. Use your tolerance as a threshold, don’t cause yourself pain while doing this. You will get more and more flexible as you continue.
- Hold for 30-60 seconds
- Repeat 3 times.
- Don’t forget to do the left side as well.
Neck stretch #3
As we discussed in the earlier part of this post, the position of your neck is very important. In order to help release some tension off of those tight flexor muscles, let’s put our necks and heads in the opposite direction!
- Get on your bed horizontally (the wrong way to sleep)
- Slightly scooch toward the edge of the mattress
- Drop the back of your head off while leaving your upper back and shoulders on the bed
- Chill!
You can start with this and then work your way up. I recommend starting with one or two minutes and then working up to about 10-15 minutes per day. Some people like to do this for about 5 minutes in the morning and then do 10 more minutes at night. Always take it slow and listen to your body when you are doing something new. This shouldn’t be painful but relaxing and relieving, like a good stretch. You can also use something like this to create this position with your neck. Just make sure to start SLOW! Don’t jump in and do 15 minutes your first time.
Best effective chiropractic neck exercises and stretches
Section 2: Corrective Exercises
Now that we’ve identified that we have a posture issue contributing to this pain in the back of your neck and base of the skull, we need to reverse the cause. The cause is that your flexor muscles are too tight and your extensor muscles are too weak. A professor I had in chiropractic school said that our extensor muscles should be 3x’s stronger than our flexors. It floored me! I didn’t know anyone at the time that had stronger triceps than biceps or rhomboids than pecs.
Our extensors keep us upright and in good health neurologically speaking. It is good for our bodies to be weight bearing and have good posture.
Exercise #1

Here’s the best way that you can use your own body weight to build some muscle strength in those extensors.
- Lay flat on your stomach on a table or the bed.
- Position your head to where it is unsupported.
- Do the chin tuck posture and hold your head so that it is in a straight line with your spine.
- You can also squeeze all of your back muscles for an extra benefit.
- Hold for 30-60 seconds
- Repeat as much as you would like
Exercise #2

I use this one almost every single day. It is the best option if you need a simple exercise that packs a lot of power.
- Start with great posture and chin tucked.
- Squeeze your shoulder blades together.
- Put your arms slightly behind you.
- Raise your arms to the side and over your head while maintaining the shoulder blade squeeze.
- Remember to not let your neck and head go into that forward head posture position while doing this.
Hope

I want you to know that there is always hope! You can start to get your spine on the right track by doing one good exercise or stretch for just a couple of minutes a day.
Which one of the best effective chiropractic neck exercises and stretches do you like the most? Which one can you easily slip into your daily routine? Let me know what you think!
Shop this post
- Fascia blasters (10% off with link)
- Original Fascia Blaster (10% off with link)
- Mini 2 Fascia Blaster – this size is good for around the jaw and base of the skull and is also great for stubborn trigger points. (10% off with link)
- Cervical curve device
Disclaimer:
The entire contents of this website are based upon the opinions of Dr. Bri, unless otherwise noted. Individual articles are based upon the opinions of the respective author, who retains copyright as marked.
The information on this website is not intended to replace a one-on-one relationship with a qualified health care professional and is not intended as medical advice. It is intended as a sharing of knowledge and information from the research and experience of its authors. We encourage you to make your own health care decisions based upon your research and in partnership with a qualified health care professional.
If you are pregnant, nursing, taking medication, or have a medical condition, consult your health care professional before using products based on this content.

